肺癌-非小细胞:简介
时间:2020-09-28 作者:盛诺一家
美国每年有超过20万人患肺癌。虽然吸烟是主要原因,但任何人都可能患肺癌。肺癌是可以治疗的,无论大小、位置、癌症是否扩散以及扩散的程度如何。
由于肺癌与吸烟有关,患者可能会觉得他们不会得到太多的支持或帮助,因为他们相信其他人会认为是他们的行为导致了疾病。事实是,大多数吸烟者不会得肺癌,也不是所有被诊断患有肺癌的人都是吸烟的。肺癌是一种可以影响任何人的疾病。事实上,如今大多数患肺癌的人要么早几年就戒烟了,要么从未吸烟。
关于肺
当一个人吸气时,肺从空气中吸收氧气,将氧气带入血液,然后输送到身体的其他部位。当人体细胞使用氧气时,它们会释放二氧化碳。血液将二氧化碳带回肺部,当人呼气时,二氧化碳就会离开身体。
肺含有许多不同类型的细胞。肺中的大部分细胞是上皮细胞。上皮细胞排列在气道上,形成黏液,润滑和保护肺。肺也包含神经细胞,激素产生细胞,血细胞,和结构或支持细胞。
关于非小细胞肺癌
肺癌主要分为两大类:小细胞肺癌和非小细胞肺癌(NSCLC)。这两种类型被区别对待。本指南包含有关非小细胞肺癌的信息。了解更多关于小细胞肺癌在一个不同的指南。这个网站还提供了一个关于肺神经内分泌肿瘤的单独指南。
非小细胞肺癌开始于肺部健康细胞的改变和生长失控,形成一个肿块,称为肿瘤、病变或结节。肺肿瘤可以发生在肺的任何地方。肿瘤可以是癌的,也可以是良性的。一旦癌变的肺肿瘤生长,癌细胞就会脱落。这些细胞可以在血液中带走,或者漂浮在包围肺组织的淋巴液中。淋巴液通过淋巴管流入淋巴结。
淋巴结是小的,豆状的器官,帮助对抗感染。它们位于肺部、胸部中心和身体的其他部位。淋巴液自然从肺部流出,流向胸部中心,这就解释了为什么肺癌经常先在那里扩散。当癌细胞通过血流转移到淋巴结或身体远处时,这被称为转移。
非小细胞肺癌的类型
非小细胞肺癌开始于上皮细胞。对于医生来说,区分始于鳞状细胞的肺癌和始于其他细胞的肺癌是很重要的。这一信息用于确定治疗方案。
你的医生会根据肿瘤在显微镜下的表现来确定你患的是非小细胞肺癌的类型。
非小细胞肺癌的不同类型有:
1)腺癌
2)鳞状细胞癌
3)大细胞癌
4)非小细胞肺癌未指定或非小细胞肺癌未分化

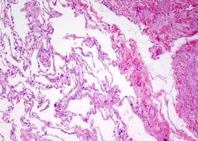
正常肺组织(图片来源于Cancer.Net)

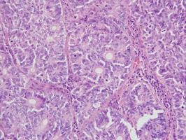
肺腺癌(图片来源于Cancer.Net)

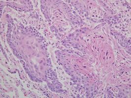
肺鳞状细胞癌 (图片来源于Cancer.Net)
—经过美国病理学家学会许可使用的图片。
来源:
本文编译自Cancer.Net官网2020年5月发布的《
Lung Cancer - Non-Small Cell: Introduction
》
原文链接:
https://www.cancer.net/cancer-types/lung-cancer-non-small-cell/introduction

【盛诺一家】创立于2011年,是国内权威的海外医疗服务中介机构,拥有全球多家知名医院的合作转诊协议。如果您想要快速办理美国/日本/英国等国家出国看病、国际专家开云官方首页 、日本体检等业务,欢迎拨打免费热线400-875-6700进行咨询!
本文为海外就医科普文章,内容仅供阅读参考,不作为任何疾病治疗的指导意见。文章由盛诺一家编译,版权归盛诺一家公司所有,转载或引用本网内容须注明"转自盛诺一家官网(m.telecom-inc.com)"字样。
上一篇:慢性癌症的治疗
下一篇:儿童肝癌治疗方案概述
- 相关资讯
- 最新动态
癌症专科排名:1 (2024年美国医院排名)
癌症专科排名:2 (2024年美国医院排名)
心脏专科排名:8 神经专科排名:6 (2024美国医院排名)
癌症专科排名:4 (2024美国医院排名)
癌症专科排名:3 心脏专科排名:3 神经专科排名:2 (2024美国医院排名)
心脏专科排名:1 胃肠专科排名:2 风湿病学:2 (2024美国医院排名)
癌症专科排名:6 神经专科排名:5 (2024美国医院排名)
美国儿童医院排名:1 (2022-23美国儿童医院排名)

免费咨询:400-875-6700











咨询医学顾问 
提交成功!


出国看病费用评估